Health Notes- Blood, skulls, bones, and brains

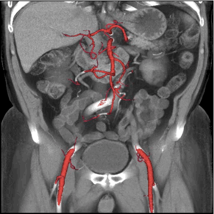
aaaHealthNotesButtonRestOfNewsletterWestern Medicine is built around technology.  While your health may most often be about the decisions you make in your daily life, sometimes you may need to rely on that spectacularly successful tech.  Have you ever looked at one of your X-rays?  It may be hard to see a hairline fracture in your wrist in an X-ray, but it’s a heck of a lot harder without one.  X-rays were the absolute state-of-the-art for about 60 years until MRIs, CAT scans, and ultrasounds came along to create a quantum leap in body imaging.  Another quantum leap in body imaging is happening now, producing images so precise and clear that we saved them for Halloween.  We’ve included several of the best shots here, but check the links below.  If you are as impressed as we were by these images, you’ll really appreciate the motion GIF animations showing a dive through a human skull to show the blood circulation in the brain!  Brains, skulls, blood, bones… what more do you need for a happy Halloween?

199axclpcpaqwjpg abdomenaorta gehc-revolution-ct-clinicalimage-tro tumblr_inline_nhryrw7Ma31qzgziy tumblr_inline_nhrywbwh6E1qzgziy tumblr_inline_nhuji4Q6FI1qzgziy

 

 

 

 

 

 

 

 

 

 

 

 

 

 

 

 

You Won’t Believe How Accurate GE’s New CT Scanner Is

Andrew Tarantola on Gizmodo, Dec 2013

See marvelously detailed images of the body taken by new CT scanner

Anthony Domanico on CNET, Jan 2015

Revolution CT Image Gallery

GE Healthcare website

New CT Scan Images From GE Show Unprecedented Level Of Detail

Chris Weller in Medical Daily, Jan 2015

GE Revolution CT Scanner

GE Healthcare website

New CT Scan Can See Bones And Organs In Stunning Detail

Tomas Keliner on GE Reports, Jan 2015